যোগাযোগ করুন
প্রবেশ করুন
SAHARA PHARMACY
HOME
SP
BS CTC
CERTIFICATE
SOFTWARE
MULTIMEDIA
PHOTO
UPLOAD
ONLINE
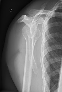
X-Ray of Shoulder
Post a Comment
0 Comments
Social Plugin
Popular Post
PHOTO-PERSONAL
June 22, 2023
0 Comments